Kategori: Sağlık
Selçuklu Belediyesi Personeli’nden Kızılay’a Kan Bağışı Desteği
Selçuklu Belediyesi toplumda farkındalık oluşturan projelere destek olmaya devam ediyor. Bu kapsamda belediye hizmet binasında Kızılay Kan Merkezi tarafından yürütülen kan bağışı kampanyası hem belediye personeli hem de vatandaşlar tarafından yoğun ilgi gördü.
Siirt’te Otomobil Takla Attı: 2 Yaralı
Siirt’te sürücüsünün direksiyon hakimiyetini kaybetmesi sonucu takla atan otomobilde 2 kişi yaralandı. Yaralılar hastaneye kaldırıldı.
“Toplumun dörtte birinde magnezyum eksikliği var”
“Toplumun dörtte birinde magnezyum eksikliği var”
Magnezyum eksikliği yaygınlaşıyor: Sağlık riskleri ve önerilen beslenme ipuçları…
Gastroenteroloji Uzmanı Prof. Dr. Çağdaş Erdoğan, magnezyum eksikliğinin toplumun dörtte birinde görüldüğünü belirterek, eksikliğin çocuklarda büyüme geriliği, erişkinlerde ise kalp ritim bozuklukları gibi ciddi sorunlara yol açabileceğini vurguladı. Ayrıca, doğru beslenmeyle magnezyum alımının önemine dikkat çekti.
Mersin’de Motosiklet Kazası: 2’si Çocuk 4 Yaralı
Mersin’in Erdemli ilçesinde hafif ticari aracın motosiklete çarpması sonucu 2’si çocuk 4 kişi yaralandı. Yaralılar hastaneye kaldırıldı, durumları iyi.
Alkollü Sürücü Yolcu Durağına Daldı
Tekirdağ Çorlu’da polis tarafından durdurulmaya çalışılan alkollü sürücü, direksiyon hakimiyetini kaybederek yolcu durağına çarptı. Yaralananın olmadığı kazada, sürücünün alkollü olduğu ve ehliyetine el konulduğu öğrenildi.
Kadınlar Basketbol Süper Ligi’nde Meme Kanseri Farkındalığı
Melikgazi Kayseri Basketbol-Botaş maçı öncesi oyuncular, 1-31 Ekim Meme Kanseri Farkındalık Ayı kapsamında pankart açarak farkındalık oluşturdu.
Gaziantep’te Kamyonet Şarampole Uçtu: 2 Ağır Yaralı
Gaziantep’in Karkamış ilçesinde meydana gelen kazada, kontrolden çıkan bir kamyonet şarampole uçtu. Araç içinde bulunan 2 kişi ağır yaralandı ve hastaneye kaldırıldı.
Doç. Dr. Babacan: Meme kanserine karşı Akdeniz tipi diyetle beslenin
Doç. Dr. Babacan: Meme kanserine karşı Akdeniz tipi diyetle beslenin
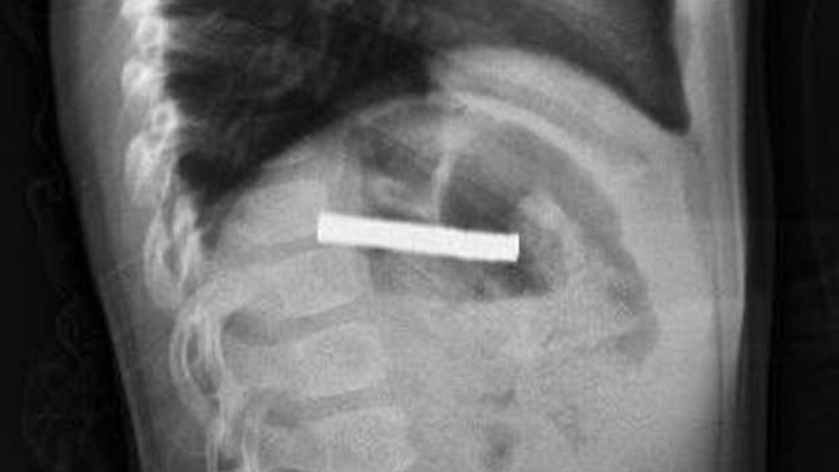
Elazığ’da çocuğun boğazından 19 adet mıknatıs çıkartıldı
3 yaşındaki bir çocuğun yuttuğu 19 mıknatıs, Fırat Üniversitesi Hastanesinde başarılı bir operasyon ile çıkartıldı. Çocuğun sağlık durumunun iyi olduğu ve taburcu edildiği öğrenildi.
Mantar sezonu başladı: Uzmanlardan zehirlenmelere karşı uyarılar
Sonbahar mevsimiyle birlikte artan mantar tüketimine dikkat çeken uzmanlar, şehir efsanesi haline gelen yanlış bilgiler sebebiyle mantar zehirlenmelerinin yaşandığını söyleyerek uyarılarda bulundu.
Sağlık Bakanlığı 18 bin yeni personel alacak
Sağlık Bakanlığı 18 bin yeni personel alacak
‘Düşük doğum kilosu işitme kaybına yol açabilir’
Kulak Burun Boğaz (KBB) Hastalıkları Uzmanı Opr. Dr. Yunus Karadavut, işitme kaybına yol açan faktörlerin yüzde 50’sinin önlenebilir olduğunu belirterek, “Düşük doğum kilosu, annenin hamilelikte kullandığı bazı ilaçlar ve bazı hastalıklar doğuştan işitme kaybına sebep olabiliyor” dedi.
Erkeklerde en çok görülen ikinci kanser türü belli oldu
Erkeklerde ikinci en sık görülen kanser türünün prostat olduğu açıklandı.













